پیچ خوردگی پا و مچ پا ممکن است باعث شکستگی طولی شفت متاتارس ۵ شود؛ استخوانی که انگشت کوچک را به midfoot وصل می کند. در طی این آسیب ، متاتارس ۵ توسط یک نیروی قوی پیچیده می شود که منجر به شکستگی مارپیچی می شود. نام این شکستگی متاتارسال ۵، شکستگی پای رقاص باله است که باعث درد موضعی ، تورم و مشکل در راه رفتن میشود . در بیشتر موارد ، این نوع شکستگی را می توان بدون عمل جراحی ، با بیحرکتی نسبی یا یک گچ کوتاه، درمان کرد. به طور معمول حدود ۶ هفته طول می کشد تا بهبودی استخوان حاصل شود. برای بهبودی کامل، غالباً ۱۲ هفته یا بیشتر زمان نیاز است.
بیمار بدنبال پیچ خوردگی حاد مچ پا در حالی که انگشتان پا به سمت پایین قرار می گیرد ، ممکن است دچار شکستگی شفت متاتارس پنج شود (شکل 1 را ببینید). این باعث ایجاد درد فوری در قسمت بیرونی پا در نزدیکی انگشتان پا خواهد شد، می تواند با تورم چشمگیر همراه باشد. با گذشت زمان، پوست می تواند سیاه و آبی شود. این سیاهشدگی با حساسیت موضعی کاملاً مشخص بر روی استخوان در نزدیکی پایه انگشتان پا ، در قسمت بیرونی پا (متاتارس۵) همراه خواهد بود. بیمارانی که دچار شکستگی شفت متاتارس پنج ۵ شده اند، تاریخچه ای از آسیب دیدگی مچ پا و مفاصل مچ پا و پا خود را نشان می دهند (inversion plantarflexion injury).
هنگام فشار دادن قسمت بیرونی پا ، بر روی متاتارس 5 حساسیت به چشم می خورد. ممکن است در قسمت بزرگی از قسمت بیرونی کف پا حساسیت وجود داشته باشد. با این حال، حساسیت اصلی در سر و گردن 5 متاتارس خواهد بود.
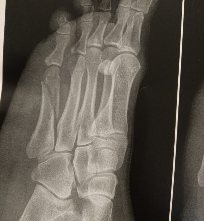
پرتوهای ایکس پا شکستگی مورب طولی شفت متاتارس پنج (شکل ۲ را ببینید) را نشان می دهند. اندازه قطعه شکستگی ممکن است بسیار متفاوت باشد.
درمان شکستگی شافت متاتارس پنجم “رقصنده باله” معمولاً بدون عمل جراحی انجام میشود. درمان شامل استراحت نسبی و زمان برای بهبودی شکستگی است. به طور معمول ، برای بیماران یک گچ کوتاه گرفته میشود و برای چند هفته اول ، آنها باید راهپیمایی خود را به میزان قابل توجهی محدود کنند و ممکن است به عصا (شکل ۳) احتیاج داشته باشند.
هرچه تورم برطرف شد و شکستگی شروع به بهبودی کرد ، می توانند راهپیمایی بیشتری را با گچ شروع کنند. معمولاً بعد از 6 هفته ، بهبود کافی بوجود میآید تا اجازه باز کردن گچ و تبدیل آن به یک کفش با پد فراوان و کفی محکم فراهم شود (شکل ۴)، زیرا برای بهبودی مدت زمان زیادی طول می کشد. بیماران بعد از این آسیب، اغلب 6 تا 8 هفته یا بیشتر دچار درد و علامت هستند. آنها معمولاً می توانند فعالیتهای ورزشی و رقص را از هفته ۱۰ تا ۱۲ از سر بگیرند و تا 19 هفته به سطح عملکرد برگردند.
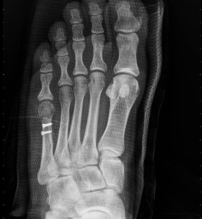
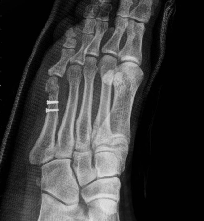
جراحي به ندرت مورد نياز است اما در صورت جابجايي كامل قطعات شكستگي يا عدم بهبودي در درمان غير جراحي ممكن است لازم باشد. در این موارد ، قطعات استخوان با پیچ و یا یک صفحه دوباره جابجایی و تثبیت می شوند.



