ترومای ارتوپدی به عنوان آسیب شدید به عناصر سیستم اسکلتی عضلانی (عضلات، مفاصل، رباط ها، استخوان ها و بافت نرم) طبقه بندی می شود. این صدمات ترومایی اغلب نتیجه یک تصادف ناگهانی مانند سقوط است که نیاز به مراقبت فوری پزشکی دارد. حقیقت این است که ترومای ارتوپدی مانند شکستگی ممکن است برای هر کسی و در هر زمانی رخ دهد. به طور خاص، درمان شکستگی بر بازگرداندن عملکرد به سرعت و تا حد امکان کامل تمرکز دارد. در حالی که شکستگی ها به خودی خود بهبود می یابند، برخی از آنها نیاز به درمان جراحی دارند تا نتایج مطلوب حاصل شود. مراقبت از تروما ارتوپدی طیفی از شکستگی های جدا شده ساده تا حوادث شدید تهدید کننده زندگی با چندین استخوان شکسته را پوشش می دهد.
دکتر بابک طلوع قمری از بسیاری از تکنیک های پیشرو برای درمان شکستگی ها و کار بر روی بهبودی سریع بیماران استفاده می کند.
گالری عملهای جراحی شکستگی
شکستگی گردن فمور
بیمار خانم ۷۲ ساله فعال که به دنبال افتادن از درخت انجیر دچار شکستگی گردن فمور چپ شدند که تحت درمان تعویض مفصل کامل هیپ چپ قرار گرفتند.
شکستگی بای مالئول
خانم ۲۷ ساله که به دنبال افتادن از پله دچار شکستگی بای مالئول ( هر دو قوزک) مچ پای راست شده اند و در یکی از بیمارستانهای تهران تحت عمل جراحی قرار گرفتند که با مشکل درد و احساس ناپایداری در مچ پا مراجعه نمودند. (تصویر شماره یک) ایشان مجددا در بیمارستان بین المللی قائم رشت (تصویر شماره دو) تحت عمل جراحی قرار گرفتند و قوزک داخلی به درستی جااندازی و فیکس شد(تصویر شماره سه و چهار).
شکستگی اینترتروک
آقای ۷۳ ساله به دنبال افتادن دچار شکستگی هیپ سمت چپ شده است که تحت عمل جراحی با پلاک DHS قرار گرفتهاست
شکستگی پاتولوژیک سابتروکانتریک
خانم ۶۲ ساله مبتلا به آرتریت روماتوئید با سابقه مصرف پردنیزولون و آلندرونیت می باشد که بعد از یکماه درد در ناحیه ران به دنبال افتادن دچار شکستگی (تصویر یک) ناحیه سابتروکانتریک استخوان ران سمت راست شده بود که تحت درمان با پلاک dcs قرار گرفت (تصویر دو و سه). متاسفانه در شکستگیهای که در ناحیه سابتروکانتریک رخ می دهد بویژه در زمینه مصرف آلندرونیت و پردنیزولون، نان یونیون (جوش نخوردگی) بطور شایع اتفاق می افتد و با توجه به بیماری زمینه ای این بیمار احتمال بالاتر هم میرود. چهار ماه بعد بیمار مجددا به دنبال افتادن دچار شکستگی مجدد شد (تصویر چهار) که اینبار بعد از خارج کردن پلاک بعد از استئوتومی تحت عمل با گاما نیل و گرافت از استخوان ایلیاک قرار گرفتند (تصویر پنج و شش).
شکستگی سوپراکندیلر آرنج راست
بیمار پسر ۷ ساله که به دنبال افتادن دچار شکستگی سوپراکندیلر آرنج راست شده است. شکستگی کاملا جابجا هست (تایپ ۴) و ناپایدار است که خوشبختانه بدون باز کردن به صورت بسته زیر دستگاه فلورسکوپ نخست جااندازی و با دو عدد پین از طریق پوست فیکس شدهاست.
شکستگی گردن فمور
خانم ۸۴ ساله که به دنبال افتادن دچار شکستگی گردن فمور (سر استخوان ران) شدند. به علت کهولت سن عمل فیکساسیون برای ایشان انجام نشد و تحت عمل تعویض مفصل (بای پولار) قرار گرفتند.
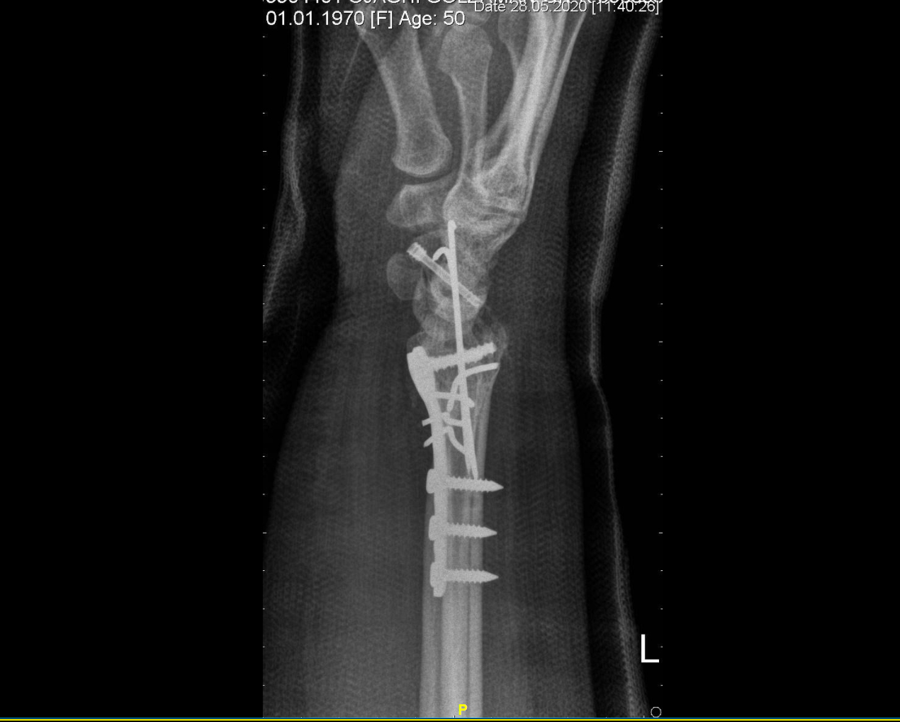
شکستگی خرد شده دیستال رادیوس و اسکافویید
خانم ۴۹ ساله که به دلیل واژگونی موتور چهارچرخ در ساحل انزلی، دچار شکستگی خرد شده مچ دست شده است. شکستگی دیستال رادیوس و اسکافویید و دررفتگی مفصل رادیواولنار به ترتیب فیکس شدند.








