
کنار آمدن با احساسات در آستانه پایان زندگی
کنار آمدن با احساسات در آستانه پایان زندگی فهمیدن اینکه سرطان شما دیگر قابل کنترل نیست، میتواند احساسات مختلفی را ایجاد کند. برخی افراد ممکن

کنار آمدن با احساسات در آستانه پایان زندگی فهمیدن اینکه سرطان شما دیگر قابل کنترل نیست، میتواند احساسات مختلفی را ایجاد کند. برخی افراد ممکن

گفتن به کودک در مورد سرطان داشتن یکی از عزیزانش

گفتگو با دیگران در آستانه پایان زندگی مهم است که با نزدیک شدن به پایان عمرتان، احساسات و خواستههای خود را به اشتراک بگذارید. زمانی


نزدیک به پایان زندگی کشف اینکه سرطان شما دیگر قابل کنترل نیست یا تصمیم گیری در مورد درمان بیشتر می تواند شما را در مورد

وقتی درمانهای سرطان دیگر مؤثر نیستند: آیا این پایان راه است؟ درمان های سرطان می تواند به جلوگیری از رشد یا گسترش سرطان کمک کند.

پرستار خانگی سرطان چه می کند؟ مراقبین اغلب عزیزان بدون مزد هستند که از افراد مبتلا به سرطان حمایت فیزیکی و عاطفی میکنند. آنها میتوانند

مراقبت تسکینی مراقبت تسکینی برای بهبود کیفیت زندگی افرادی که با بیماری های جدی مانند سرطان مواجه هستند طراحی شده است. بیماران مبتلا به سرطان

درمانهای جایگزین طب جایگزین چیست؟ طب جایگزین به روشهای اثبات نشده یا رد شدهای اطلاق میشود که به جای درمانهای پزشکی استاندارد برای پیشگیری، تشخیص

طب مکمل و یکپارچه طب مکمل و یکپارچه شامل محصولات و شیوههایی است که در کنار مراقبتهای پزشکی استاندارد برای کمک به مدیریت علائم و

سرطان استخوان چقدر شایع است؟ برآورد موارد سرطان اولیه استخوان در سال ۲۰۲۵ به شرح زیر است: – تقریباً ۳۷۷۰ مورد جدید (۲۱۵۰ مورد در

جستجوی نظر دوم هنگام مواجهه با درمان سرطان، معمولاً سؤال می شود که آیا پزشک دیگری می تواند اطلاعات بیشتری را ارائه دهد یا گزینه

کوردوما این نوع نادر تومور استخوانی معمولاً در پایه جمجمه یا در استخوانهای تحتانی ستون فقرات ایجاد میشود. به طور کلی به کندی رشد می

تومور سلول غول پیکر استخوان تومور سلول غول پیکر استخوان (Giant cell tumor of bone) یا به اختصار GCT، معمولاً به سایر قسمتهای بدن گسترش

فیبروسارکوم استخوان جراحی معمولا درمان اصلی این نوع سرطان استخوان است. هدف حذف تومور با حاشیهای از استخوان طبیعی اطراف آن است. نوع عمل به

Undifferentiated pleomorphic sarcoma of bone این سرطان قبلا به عنوان هیستیوسیتوم فیبروز بدخیم (MFH) استخوان شناخته میشد. درمان آن اساساً به همان روشی است که

درمان کندروسارکوما درمان کندروسارکوم عمدتاً بر اساس موارد زیر است: درجه سرطان (بر اساس ظاهر آن در زیر میکروسکوپ، احتمال رشد و گسترش سریع

درمان انواع خاصی از سرطان استخوان درمان سرطان استخوان در بزرگسالان به نوع سرطان استخوان، محل شروع سرطان، Stage آن، سلامت کلی و ترجیحات فرد

درمان هدفمند و سایر داروها برای سرطان استخوان دانشمندان در درک تغییرات ژنتیکی در سلولهایی که میتوانند باعث سرطان استخوان شوند، پیشرفت کردهاند. در نتیجه،

شیمی درمانی برای سرطان استخوان شیمی درمانی (chemo) استفاده از داروها برای درمان سرطان است. این داروها معمولاً به صورت داخل وریدی (IV) تجویز میشوند

پرتودرمانی برای سرطان استخوان پرتودرمانی از پرتوها یا ذرات پر انرژی برای از بین بردن سلول های سرطانی استفاده می کند. برای اکثر انواع سرطان

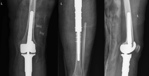
جراحی برای سرطان استخوان جراحی، بخش مهمی از درمان اکثر انواع سرطانهای استخوان میباشد. معمولا شامل موارد زیر است: بیوپسی برای تشخیص سرطان برداشتن تومور

درمان سرطان استخوان اطلاعات در اینجا بر روی سرطانهای اولیه استخوان (سرطان هایی که از استخوانها شروع میشوند.) متمرکز است که اغلب در بزرگسالان دیده

رابطه پزشک و بیمار شما به پزشک خود تکیه میکنید تا اطلاعات واضح و مفیدی را به شما بدهد که شما را در تصمیم گیری

سوالاتی که باید در مورد سرطان استخوان بپرسید. در اینجا بر روی سرطانهای اولیه استخوان (سرطانهایی که در استخوانها شروع میشوند) تمرکز میکنند که اغلب

میزان بقا برای سرطان استخوان در اینجا بر روی سرطانهای اولیه استخوان (سرطانهایی که در استخوانها شروع میشوند) تمرکز میکنند که اغلب در بزرگسالان دیده

مراحل سرطان استخوان در اینجا بر روی سرطانهای اولیه استخوان (سرطانهایی که در استخوانها شروع میشوند) تمرکز میکنند که اغلب در بزرگسالان دیده میشود. اطلاعات

آزمایشهای سرطان استخوان در اینجا بر روی سرطانهای اولیه استخوان (سرطانهایی که در استخوانها شروع میشوند) تمرکز میکنند که اغلب در بزرگسالان دیده میشود. اطلاعات

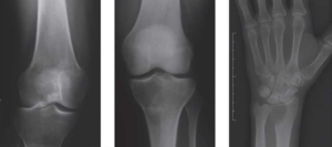
علائم و نشانههای سرطان استخوان در اینجا بر روی سرطانهای اولیه استخوان (سرطانهایی که در استخوانها شروع میشوند) تمرکز میکنند که اغلب در بزرگسالان دیده

آیا میتوان سرطان استخوان را زود تشخیص داد؟ در اینجا بر روی سرطانهای اولیه استخوان (سرطانهایی که در استخوانها شروع میشوند) تمرکز میکنند که اغلب

تشخیص زودهنگام سرطان استخوان، تشخیص و مرحله بندی با علائم و نشانههای سرطان استخوان آشنا شوید. چگونگی آزمایش، تشخیص و مرحلهبندی سرطان استخوان را بیابید.

آیا می توان از سرطان استخوان جلوگیری کرد؟ در اینجا بر روی سرطانهای اولیه استخوان (سرطانهایی که در استخوانها شروع میشوند) تمرکز میکنند که اغلب

چه چیزی باعث سرطان استخوان می شود؟ در اینجا بر روی سرطانهای اولیه استخوان (سرطانهایی که در استخوانها شروع میشوند) تمرکز میکنند که اغلب در

عوامل خطر برای سرطان استخوان اطلاعات در اینجا بر روی سرطانهای اولیه استخوان (سرطان هایی که از استخوانها شروع میشوند.) متمرکز است که اغلب در

علل سرطان استخوان، عوامل خطر و پیشگیری در مورد عوامل خطر سرطان استخوان و مواردی که ممکن است بتوانید برای کاهش خطر انجامدهید، بیاموزید. عوامل

تازههای تحقیقاتی سرطان استخوان اطلاعات در اینجا بر روی سرطانهای اولیه استخوان (سرطانهایی که در استخوانها شروع میشوند.) تمرکز میکنند که اغلب در بزرگسالان دیده

سرطانهای اولیه استخوان (نمای کلی و انواع آن) اگر سرطان استخوان برای شما تشخیص دادهشده است یا در مورد آن نگران هستید، احتمالاً سوالات زیادی

نرخ بروز سرطان بر اساس سن شما بیشتر احتمال دارد که سرطان را با افزایش سن دریافت کنید. در واقع، سن بزرگترین عامل خطر برای

سرطان استخوان چیست؟ سرطان زمانی شروع میشود که سلولها شروع به رشد خارج از کنترل می کنند. سلولها تقریبا در هر بخشی از بدن میتوانند